Porcelain Crowns
Applied Procedures: Porcelain Crowns
P10331_ss4846bs_t P10331_ss4846ys_t
Before Photo After Photo
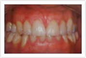
Applied Procedures: Porcelain Crowns
P10331_ss4847bs_t P10331_ss4847ys_t
Before Photo After Photo
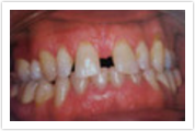
Applied Procedures: Porcelain Crowns, Dental Bridges
P10331_ss4848bs_t P10331_ss4848ys_t
Before Photo After Photo